Cosmetic Dentistry
Whitening of Teeth: This is the process of removing stains and discoloration from teeth through a bleaching process to make them look whiter. For heavily stained teeth, a procedure as simple as a scale and polish from dental hygienist can significantly improve their appearance and make them look whiter.

Orthodontics: Treatment can focus on dental displacement only, or can deal with the control and modification of facial growth. It is better defined as "Dentofacial Orthopaedics". Orthodontic treatment can be carried out for purely aesthetic reasons with regards to improving the general appearance of patient’s teeth. However, there are orthodontists who work on reconstructing the entire face rather than focusing exclusively on teeth. This is the specialist branch dentistry that deals with the diagnosis, prevention and correction of dental and facial irregularities occurring as a result of:
- Bad Bite / Malocclusion
- Missing or Extra Teeth
- Misaligned Teeth
- Crooked Teeth
- Crowed Teeth
- An Overbite
- An Underbite
- Misaligned Jaw Position
- Disorder of the Jaw Joint

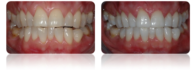
Lumineers: It can reshape your smile and give you that perfect smile makeover. They can cover gaps between teeth and enhance the appearance of worn down and discolored teeth, case study shows slightly crooked and stained teeth treated with “Lumineers” to give a much brighter & symmetrical smile.

Veneers: Dental veneers have long been used to create the ultimate smile makeover. With this treatment, it’s possible to transform crooked, stained, damaged or badly worn teeth into a brand new, straight along white smile. Veneers are wafer-thin laminates or shells of tooth-colored material (which can be either porcelain, ceramic or composite bonding material). They are “cemented” to the front surface of teeth to improve their cosmetic appearance.
